Neues Lächeln

Zahnmedizinische Behandlungen sind individuell und oft komplex.

Die folgenden Fallbeispiele zeigen eine Auswahl abgeschlossener Behandlungen aus verschiedenen Bereichen der Zahnmedizin – darunter rekonstruktive, prothetische, ästhetische und kieferorthopädische Versorgungen.

Ziel jeder Behandlung ist eine funktionell stabile, langfristige und individuell passende Lösung. Die gezeigten Resultate sind jeweils auf die persönliche Ausgangssituation der Patientinnen und Patienten abgestimmt.

Neues Lächeln

Korrektur des Lächelns durch Veneersanwendung

Vorher

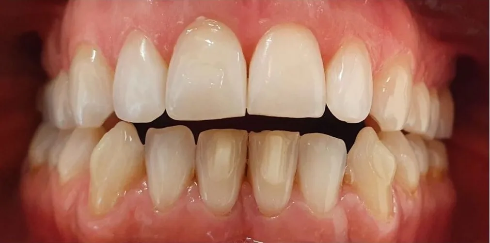
Neues Lächeln

Veneers

Vorher

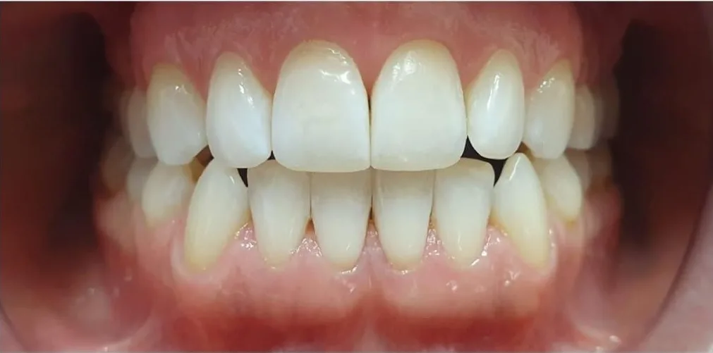
Neues Lächeln

Veneers

Vorher

Wir schenken Ihnen ein neues Lächeln

Vereinbaren Sie einen Online-Termin oder füllen Sie unser benutzerfreundliches Formular aus. Wir rufen Sie innerhalb eines Werktags zurück.

Neues Lächeln

Zahnlücken können ohne Spangen geschlossen werden

Vorher

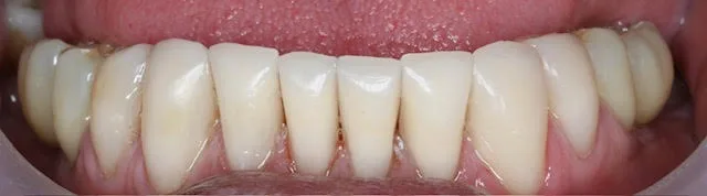
Neues Lächeln

Auch Prothesen können sehr schön sein

Vorher

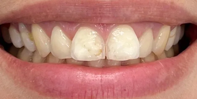
Neues Lächeln

Mittels Bonding korrigierte Zähne

Vorher

Möchten Sie wieder selbstbewusst lächeln?

Vereinbaren Sie einen Online-Termin oder füllen Sie unser benutzerfreundliches Formular aus. Wir rufen Sie innerhalb eines Werktags zurück.

Neues Lächeln

Nach dem Tragen der Spange

Vorher

Neues Lächeln

Bisserhebung und Korrektur des Lächelns

Vorher

Neues Lächeln

Verschönerung der Zähne mit Bonding

Vorher

Wir schenken Ihnen ein neues Lächeln

Vereinbaren Sie einen Online-Termin oder füllen Sie unser benutzerfreundliches Formular aus. Wir rufen Sie innerhalb eines Werktags zurück.

Neues Lächeln

Bleaching und Korrektur der Zähne mit Kompositaufbauten

Vorher

Neues Lächeln

Toter Zahn mit Bonding verschönert

Vorher

Bondinganwendung bei den gekürzten und unansehnlichen Zähnen

Vorher

Neues Lächeln

Bonding

Vorher

Möchten Sie wieder selbstbewusst lächeln?

Vereinbaren Sie einen Online-Termin oder füllen Sie unser benutzerfreundliches Formular aus. Wir rufen Sie innerhalb eines Werktags zurück.

Neues Lächeln

Bonding

Vorher

Neues Lächeln

Lückenschluss mit der Spange

Vorher

Scroll to Top